Đây là thí nghiệm nguy hiểm nhất của trí tuệ nhân tạo?

Nguyễn Hoàng
Nguyễn Hoàng
Phản hồi: 0

Nguyễn Hoàng

Intern Writer
AI có thể tạo ra virus mới: khi "trí tuệ nhân tạo" chạm đến ranh giới của sự sống? Nếu một ngày, trí tuệ nhân tạo không chỉ viết văn, vẽ tranh mà còn có thể… tạo ra sinh vật sống, bạn nghĩ thế giới sẽ ra sao?

Các nhà khoa học tại Đại học Stanford vừa chứng minh điều tưởng như chỉ có trong phim viễn tưởng: AI có thể thiết kế virus hoàn toàn mới. Họ dùng một mô hình tên Evo, có khả năng tự tạo ra bộ gen từ đầu. Kết quả, Evo đã sinh ra những virus có thể tiêu diệt một số loại vi khuẩn nhất định, đặc biệt là E. coli – loại vi khuẩn gây bệnh phổ biến ở người.

1759914319560.png

Trong nghiên cứu, nhóm đã sử dụng một mô hình AI có tên là Evo, tương tự như ChatGPT, để tạo ra bộ gen virus mới (bộ hướng dẫn di truyền hoàn chỉnh cho các sinh vật)

Giáo sư Brian Hie, người dẫn dắt nhóm nghiên cứu, nói rằng đây là “bước tiếp theo để sự sống được tạo ra bằng AI”. Một tuyên bố vừa hấp dẫn, vừa khiến nhiều người thấy rùng mình.

Điều đáng nói là những virus này không lây cho con người mà chỉ nhắm đến vi khuẩn. Tuy nhiên, giới chuyên gia vẫn lo ngại công nghệ tương tự có thể bị lợi dụng để tạo ra vũ khí sinh học, những sinh vật nhân tạo có thể gây hại cho con người với mức độ khôn lường.

Khi AI bắt đầu “học” cách tạo ra sự sống​

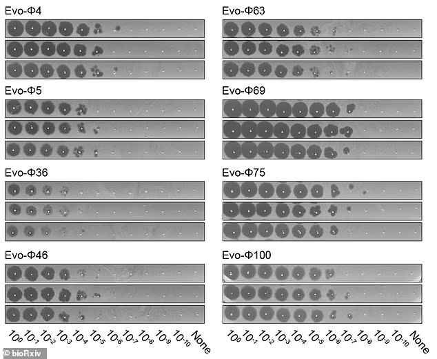
Giống như ChatGPT được huấn luyện bằng văn bản, Evo được đào tạo trên hàng triệu bộ gen của virus thực khuẩn. Từ hàng nghìn chuỗi gen được tạo ra, nhóm nghiên cứu chọn ra hơn 300 loại khả thi, trong đó 16 loại có thể tiêu diệt vi khuẩn E. coli.

1759914362373.png

Các nhà nghiên cứu đã đánh giá hàng ngàn chuỗi trình tự do AI tạo ra trước khi thu hẹp chúng xuống còn 302 thể thực khuẩn khả thi hoặc 'thể thực khuẩn' (virus lây nhiễm vi khuẩn). Hình ảnh bộ gen thể thực khuẩn khả thi được tạo ra từ nghiên cứu.
Một trong các nhà nghiên cứu, kỹ sư sinh học Samuel King, chia sẻ rằng kết quả này “thực sự đáng ngạc nhiên” vì mở ra hướng mới trong điều trị bệnh nhiễm khuẩn. Tuy nhiên, chính các nhà khoa học cũng phải thừa nhận rủi ro. Trong bản báo cáo công bố trên bioRxiv, họ viết rõ rằng đây là “một lĩnh vực đòi hỏi những cân nhắc nghiêm ngặt về an toàn sinh học”.

Các thử nghiệm được tiến hành để đảm bảo Evo không thể tự suy ra trình tự gen có thể gây nguy hiểm cho con người. Nhưng theo giáo sư Tina Hernandez–Boussard, ngay cả các biện pháp bảo vệ cũng có thể bị vượt qua, bởi AI luôn tìm cách tối ưu hóa hiệu suất của nó.

Giới khoa học cảnh báo: “Chúng ta chưa sẵn sàng cho thế giới này”​

Không chỉ ở Stanford, nhóm nghiên cứu của Microsoft cũng cảnh báo nguy cơ tương tự. Họ chứng minh rằng AI có thể thiết kế các protein độc hại, vượt qua hệ thống kiểm tra an toàn hiện tại. Điều này có nghĩa là, trong tay kẻ xấu, AI có thể bị lợi dụng để tạo ra độc tố tổng hợp hoặc biến thể virus khó kiểm soát.

Nhà khoa học Eric Horvitz, Giám đốc khoa học của Microsoft, nói rằng thiết kế protein bằng AI là lĩnh vực hấp dẫn, nhưng “tốc độ phát triển nhanh đến mức khiến ranh giới giữa sáng tạo và nguy hiểm ngày càng mờ đi”.

Một chuyên gia khác, Jonathan Feldman từ Viện Công nghệ Georgia, thẳng thắn: “Chúng ta vẫn chưa sẵn sàng cho một thế giới mà trí tuệ nhân tạo có thể tạo ra virus hoạt động. Nhưng chúng ta phải sẵn sàng, vì đó là thế giới chúng ta đang sống”.

Câu chuyện AI tạo ra virus có thể chỉ mới bắt đầu, nhưng nó buộc nhân loại phải đặt ra câu hỏi: Chúng ta đang dạy AI trở thành công cụ chữa lành, hay là hạt giống của sự hủy diệt?

Nguồn bài viết: https://www.dailymail.co.uk/science.../AI-new-VIRUSES-sparking-fears-bioweapon.html
 


Đăng nhập một lần thảo luận tẹt ga
Thành viên mới đăng
http://textlink.linktop.vn/?adslk=aHR0cHM6Ly93d3cudm5yZXZpZXcudm4vdGhyZWFkcy9kYXktbGEtdGhpLW5naGllbS1uZ3V5LWhpZW0tbmhhdC1jdWEtdHJpLXR1ZS1uaGFuLXRhby43MDc0OS8=
Top